产品:High specific surface area porous graphene
Detailed
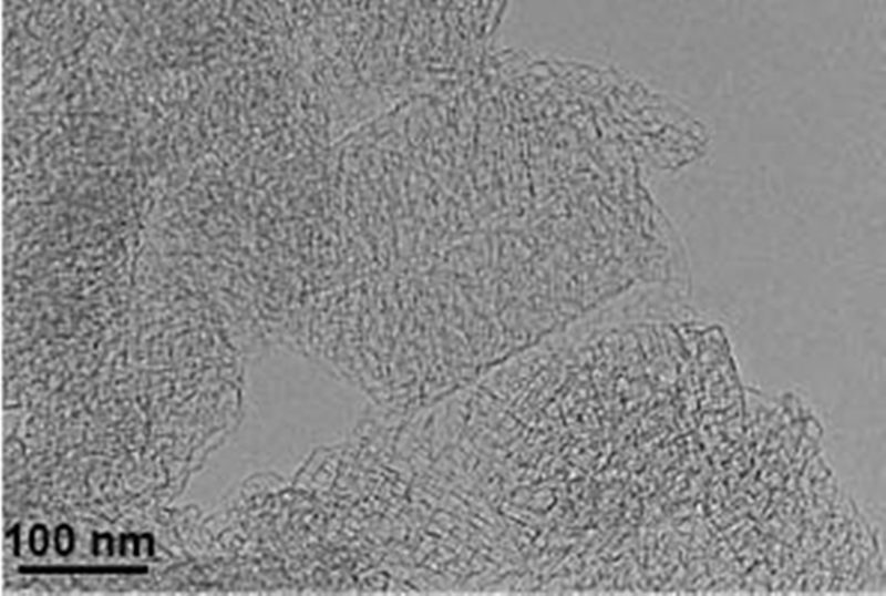
Porous graphene high specific surface area
The specific surface area is 1500-2000 m2/g, and the powdery porous graphene has a purity of >99%.

| Warm tip: the products supplied by Beijing Beike Xincai Technology Co., Ltd. are only used for scientific research, not for human body |
- Previous: then end...
- Next: Hydroxylated molybdenu

