购物车 0 注 册   |   登 录

学术前沿

 
联系我们

咨询热线:

17715390137

18101240246

18914047343

邮件:mxenes@163.com

扫码关注或微信搜索公众号:

二维材料Fronrier
关注后点击右下角联系我们,

进入企业微信。

专业服务在线

学术前沿
您的位置: 首页 > 学术前沿 > 水凝胶

智能水凝胶递送驯化外泌体靶向衰老髓核细胞抑制椎间盘铁凋亡

文章来源:北科纳米专业的纳米材料合成专家 浏览次数:336时间:2026-03-06 设计合成:18101240246

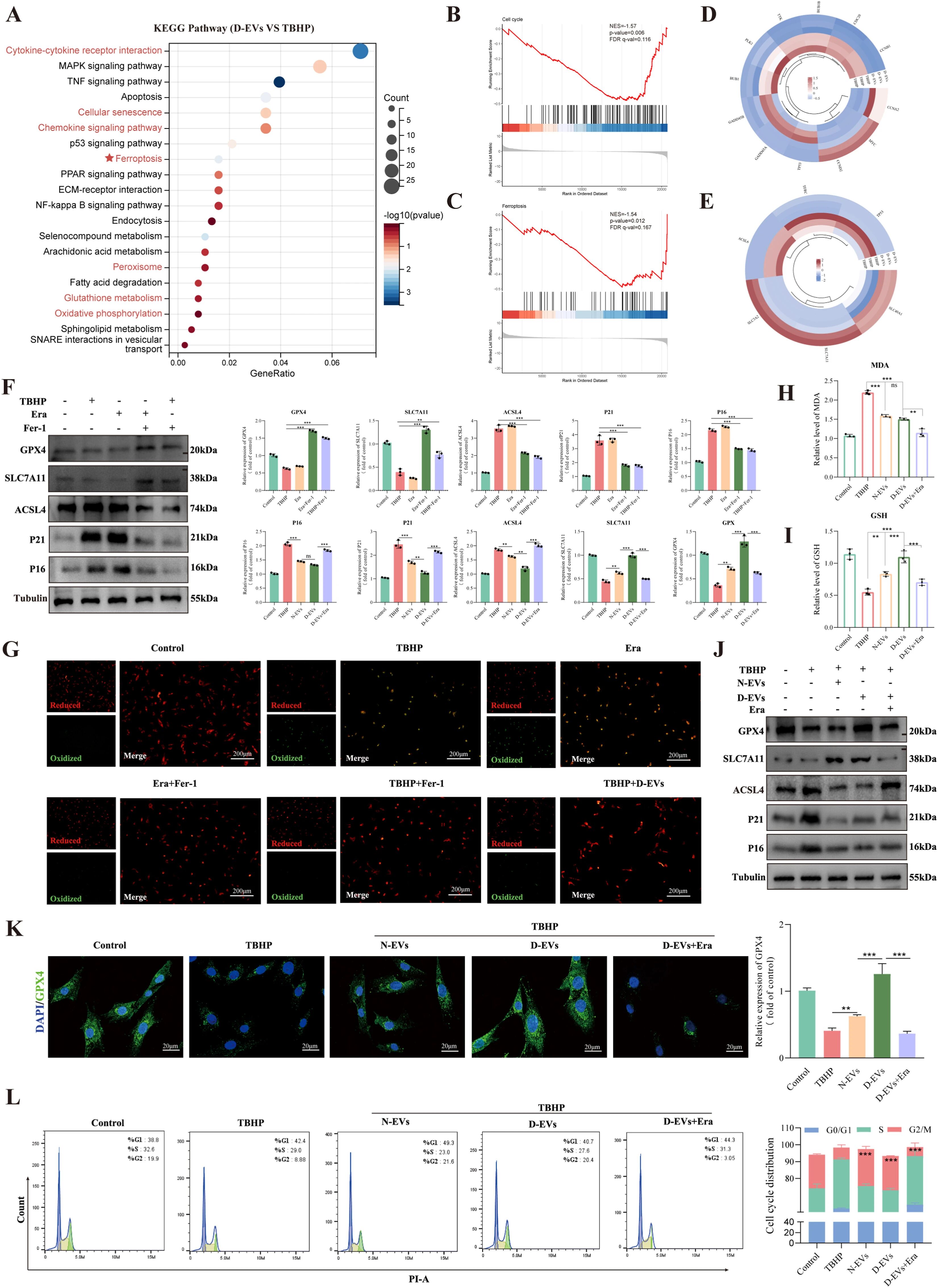
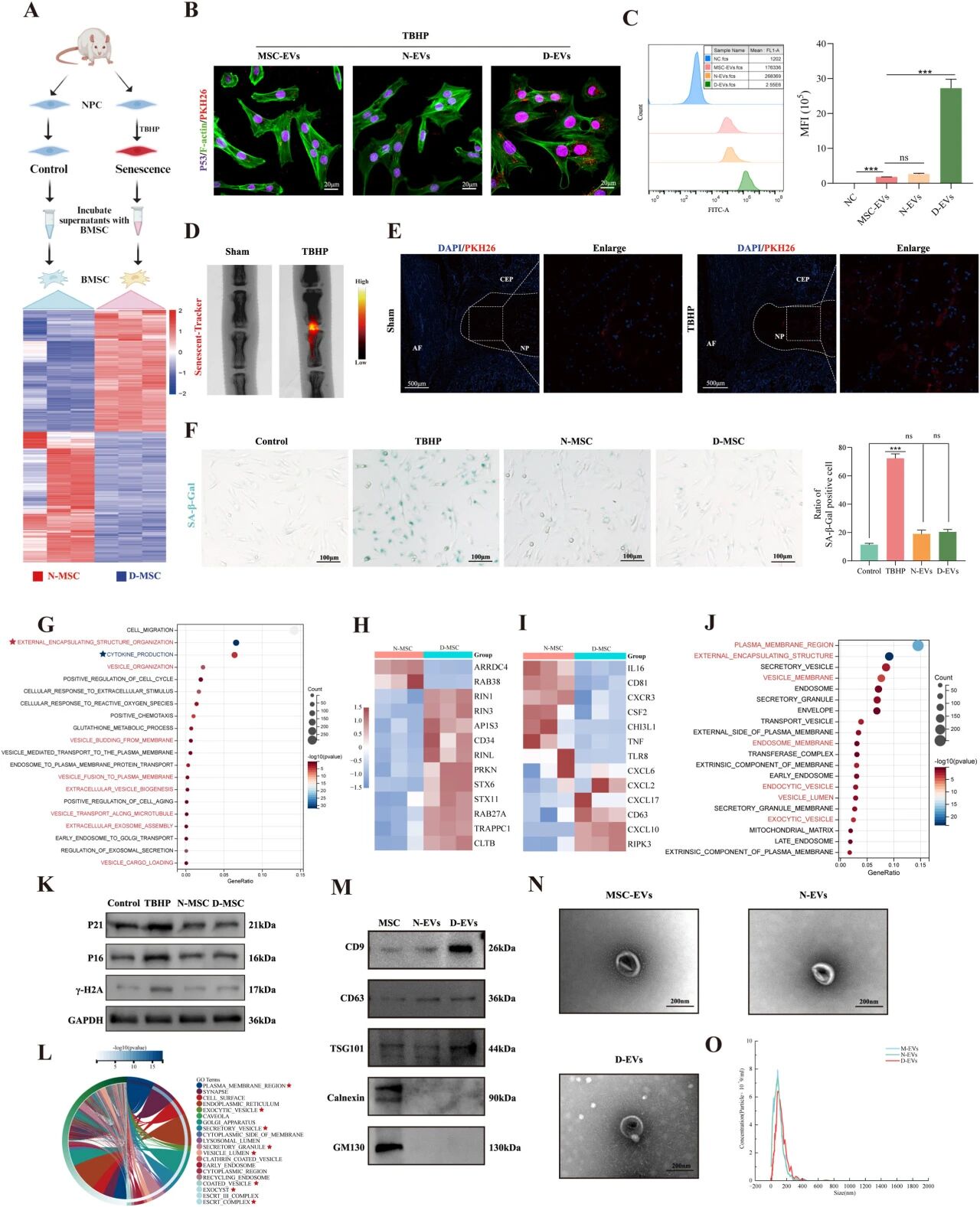
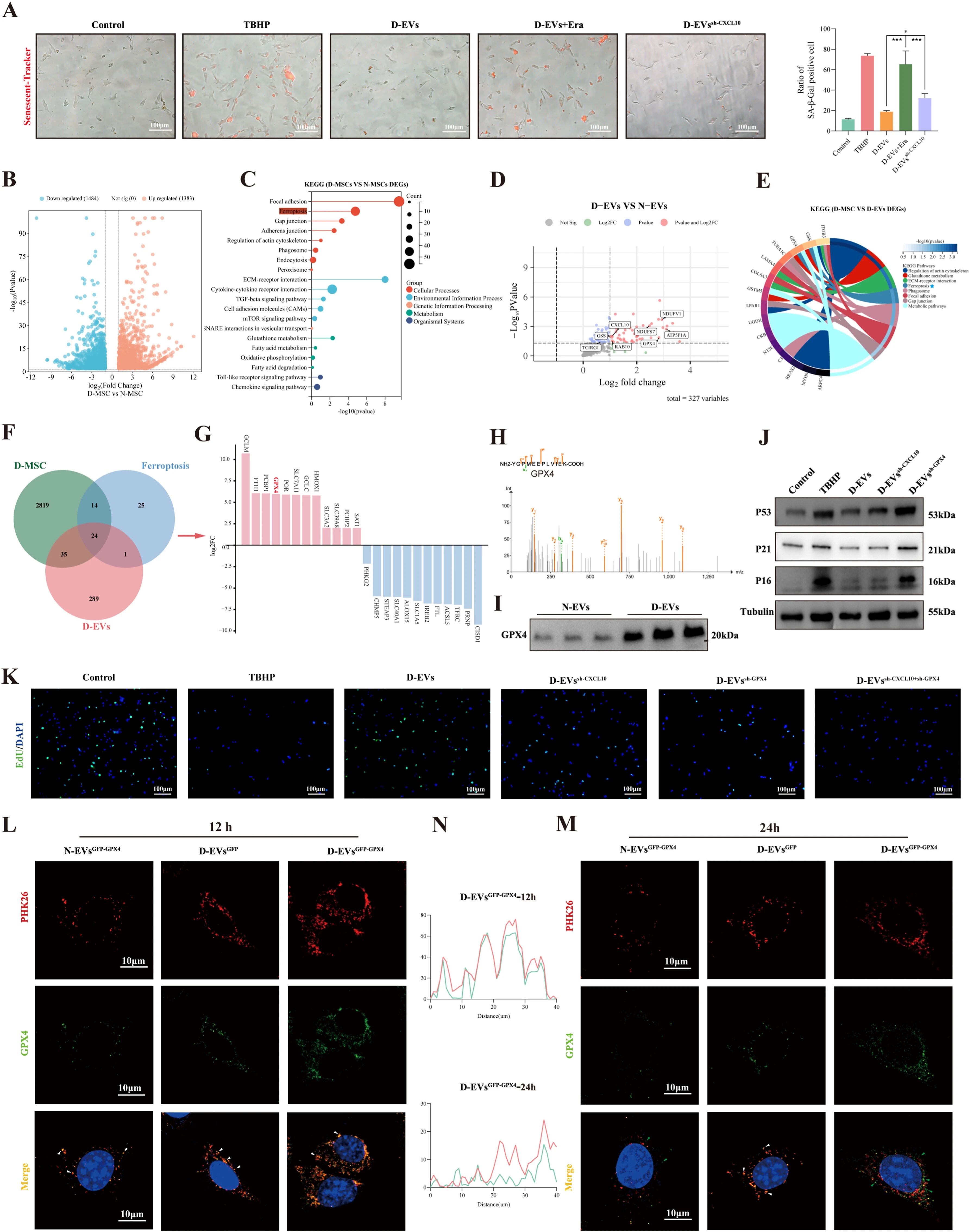
本文针对椎间盘退变(IDD)中髓核细胞衰老与铁凋亡的关键病理环节,提出了一种基于微环境训练的间充质干细胞外泌体(MSC-EVs)与智能水凝胶的协同治疗策略。研究通过模拟衰老微环境对MSC进行预处理,获得了具有增强靶向性和抗衰老特性的“驯化囊泡”(D-EVs)。多组学分析揭示D-EVs富含GPX4蛋白,并通过CXCL10-CXCR3趋化因子轴实现对衰老髓核细胞的特异性结合。功能上,D-EVs能将GPX4递送至受体细胞,从而抑制铁凋亡并缓解细胞衰老。为实现退变微环境中的持续按需释放,研究进一步通过ROS响应肽将D-EVs锚定于热敏感水凝胶上,构建了可注射的智能递送系统。体外与体内实验证实,该系统能有效抑制铁凋亡与衰老相关通路,延缓椎间盘退变进程。相关研究成果以标题“微环境训练的 MSC-EV 装填可注射的智能水凝胶,靶向衰老的髓核细胞,并抑制椎间盘退化的铁凋亡”发表于国际期刊《Bioactive Materials》。


创新点

01

微环境训练策略

通过模拟衰老微环境对MSC进行预处理,获得功能增强的“驯化囊泡”(D-EVs),其靶向性与抗衰老特性显著提升。

02

多组学机制解析

结合转录组与蛋白组学分析,明确D-EVs中GPX4蛋白的富集,并首次阐明其通过CXCL10-CXCR3趋化因子轴实现对衰老髓核细胞的特异性靶向。

03

智能响应递送系统

创新性地将D-EVs通过ROS响应肽锚定于热敏感水凝胶,构建了可注射、能响应病理微环境(如活性氧水平升高)实现按需释放的复合材料。


图文导图


材料开发


材料 / material

微环境训练获得的间充质干细胞来源外泌体(D-EVs)、热敏感水凝胶基质、ROS响应连接肽。

功能 / Function

D-EVs负责携带GPX4等活性蛋白,靶向结合衰老髓核细胞,抑制铁凋亡;智能水凝胶提供三维支撑,实现D-EVs在退变局部的滞留与刺激响应性缓释,协同缓解细胞衰老。


思路延伸



类似的研究思路主要围绕“工程化外泌体+智能生物材料”构建椎间盘退变的修复策略,可分为几个方向:

靶向修饰增强:对外泌体膜进行工程化修饰(如连接特定靶向肽),提升其对退变椎间盘内特定细胞亚群的归巢能力。

微环境响应设计:利用水凝胶的温敏、pH响应或酶响应特性,实现治疗 cargo 在病理信号(如炎症因子、基质金属蛋白酶)触发下的可控释放。

多效协同整合:将外泌体与抗炎药物、抗氧化剂或基因编辑工具共同装载,通过材料系统实现时序或空间上的协同治疗,以同时干预退变的多条通路。


原文来源



期刊名称:Bioactive Materials

发布日期:2026年02月26日

DOI:10.1016/j.bioactmat.2026.02.030

研发团队:Wenbo Wu, Zhangrong Cheng, Pengzhi Shi, Haiyang Gao, Xianglong Chen, Wang Wu, Zimu Yu, Cao Yang, Yukun Zhang




       北科纳米-学术前沿公众号
二维材料Frontier 生物纳米材料前沿 MXenes Frontier 纳米医学Frontier

 

温馨提示:北京北科新材科技有限供应产品仅用于科研,不能用于人体。部分网站示意图源自互联网,图片仅供参考,请以实际测试结果为准,如有侵权请联系我们立即删除。产品参数仅供参考,请以实际值为准!
版权所有 © 2019 北京北科新材科技有限公司
All rights reserved. 京ICP备16054715号-2
纳米合成
18101240246
电话咨询
17715390137
扫一扫

扫一扫