Bioactive Materials | 从疾病模型到治疗洞见:工程化水凝胶揭示了基质粘性耗散在椎间盘退化中的作用
QQ学术交流群:1092348845
详细介绍
椎间盘变性(IVDD)是导致下背痛的主要原因之一。尽管髓区核(NP)的机械功能关键依赖于其粘性耗散,但这一特性在 IVDD 中的作用仍不明确。本研究中,我们建立了临床样本和大鼠模型中,NP 粘性耗散减少与疾病严重程度之间的相关性。利用工程化水凝胶,这些水凝胶独立模拟健康和退化 NP 的粘性耗散特性,我们发现降低粘性耗散通过抑制 YAP 诱导 NP 细胞(NPCs)衰老。进一步的机制研究显示,NPC 可能主要通过 ITGB1 感知细胞外基质(ECM)粘性耗散的变化,进而调节细胞粘附并抑制 YAP 活性。在 YAP 下游,粘度消散减少导致 NPC 核膜完整性降低,细胞质 DNA 异常积累,从而激活 cGAS-STING 通路,推动 NPC 衰老。这些事件诱导的 NPC 衰老改变了 ECM 的组成部分,可能进一步减少粘性耗散,可能形成恶性循环。通过药理激活 YAP 并植入机械仿生水凝胶,我们缓解了恶性循环,抑制了 IVDD 在体内的进展。这些发现为 IVDD 的发病机制提供了重要见解,并提出了有前景的治疗策略。

该研究以题为“From disease model to therapeutic insight: An engineered hydrogel reveals the role of matrix viscous dissipation in intervertebral disc degeneration”发表在Bioactive Materials上。

机械转导恢复策略为 IVDD 提供了一种潜在治疗方案。a、黏性耗散与 IVDD 的相关性:在 IVDD 期间,患者神经前体细胞(NPC)组织的黏性耗散显著降低,这与 IVDD 严重程度存在潜在相关性。b、病理机制:这种机械特性的改变通过抑制机械转导导致YAP异常失活。YAP激活的丧失进而损害核膜完整性,使异常双链DNA(dsDNA)在细胞质中积聚。这随后激活cGAS-sting通路,驱动细胞衰老;c、治疗干预策略:通过药物激活YAP或植入人工细胞外基质,可部分挽救 IVDD 期间的YAP失活。该干预措施可减轻神经前体细胞衰老,促进正常细胞外基质(ECM)成分的恢复,并延缓黏性耗散的进一步丧失。因此,它有助于打破“黏性耗散降低-细胞衰老-ECM成分改变”的恶性循环。

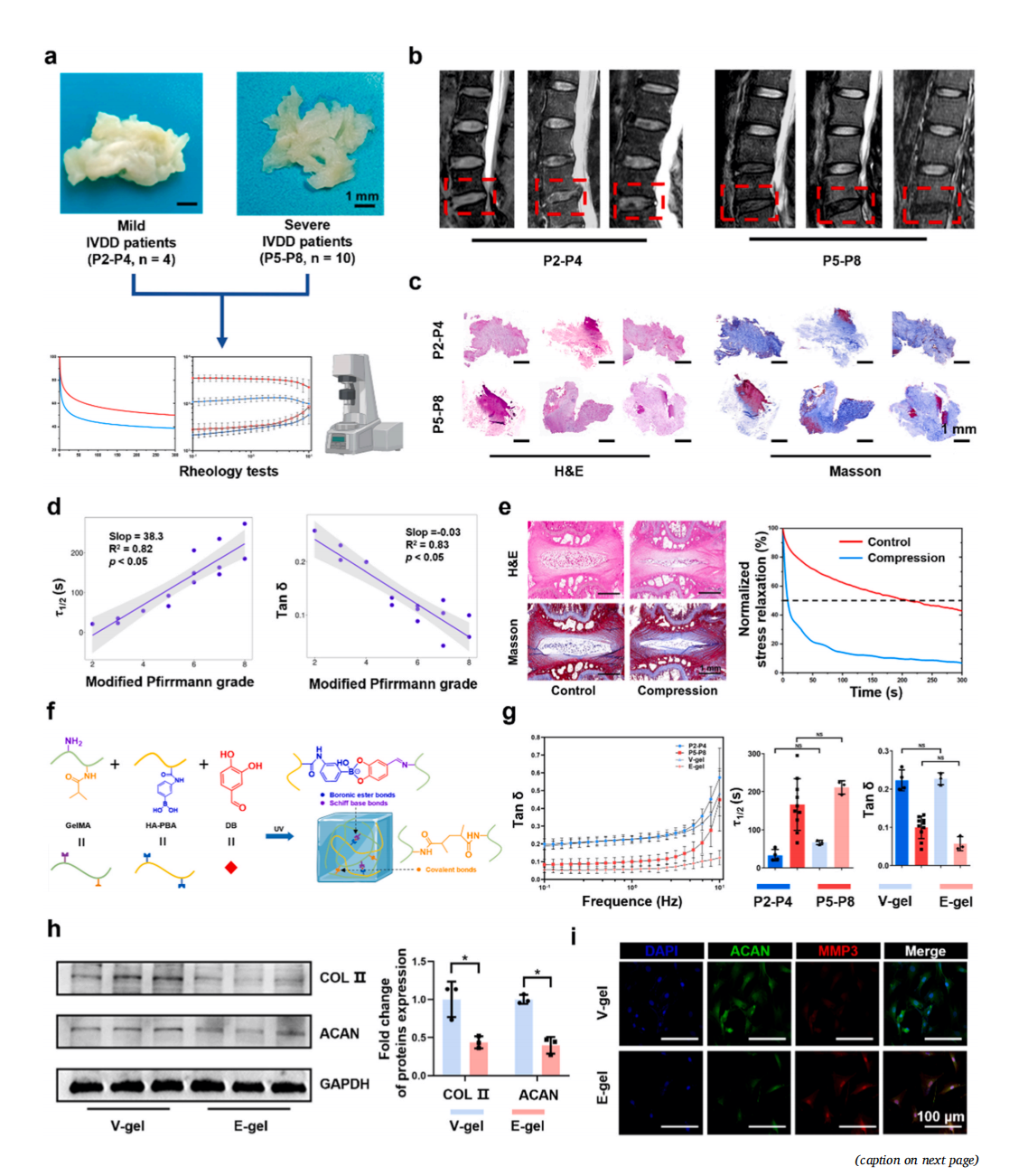
在 IVDD 进展过程中,NP的黏性耗散逐渐降低。a、临床样本采集与力学性能测试示意图。根据改良Pfirrmann分级系统,所有临床样本(n=14)被分为轻度退变组(改良Pfirrmann 2级(P2)-改良Pfirrmann 4级(P4))和重度退变组(改良Pfirrmann 5级(P5)-改良Pfirrmann 8级(P8))。b、P2-P4组与P5-P8组 IVDD 患者的代表性MRI图像及相对含水量定量分析(P2-P4组:n=4;P5-P8组:n=10)。c、P2-P4组与P5-P8组椎间盘的代表性H&E染色及Masson三色染色图像。比例尺=1 mm。d、NP黏性耗散与改良Pfirrmann分级的Spearman相关性分析。e、大鼠椎间盘代表性组织学染色图像及应力-松弛曲线。f、V-gel制备示意图:硼酸酯键以蓝色标示,Schiff碱键以紫色标示,共价键以橙色标示。g、水凝胶与NP样品的流变学特性及 τ1 /2与 tanδ 定量分析(水凝胶:n=3;P2-P4组:n=4;P5-P8组:n=10)。h、不同水凝胶上NPCs培养的COL II与 ACAN 表达的Western blot分析(n=3)。i、 ACAN 与MMP3的代表性免疫荧光图像,比例尺=100 μm 。所有数据均以均值±标准差表示。p值通过双尾非配对Student‘s t检验或单因素方差分析(ANOVA)结合Tukey多重比较法确定。p < 0.05视为具有统计学意义。符号“*”表示存在统计学差异。

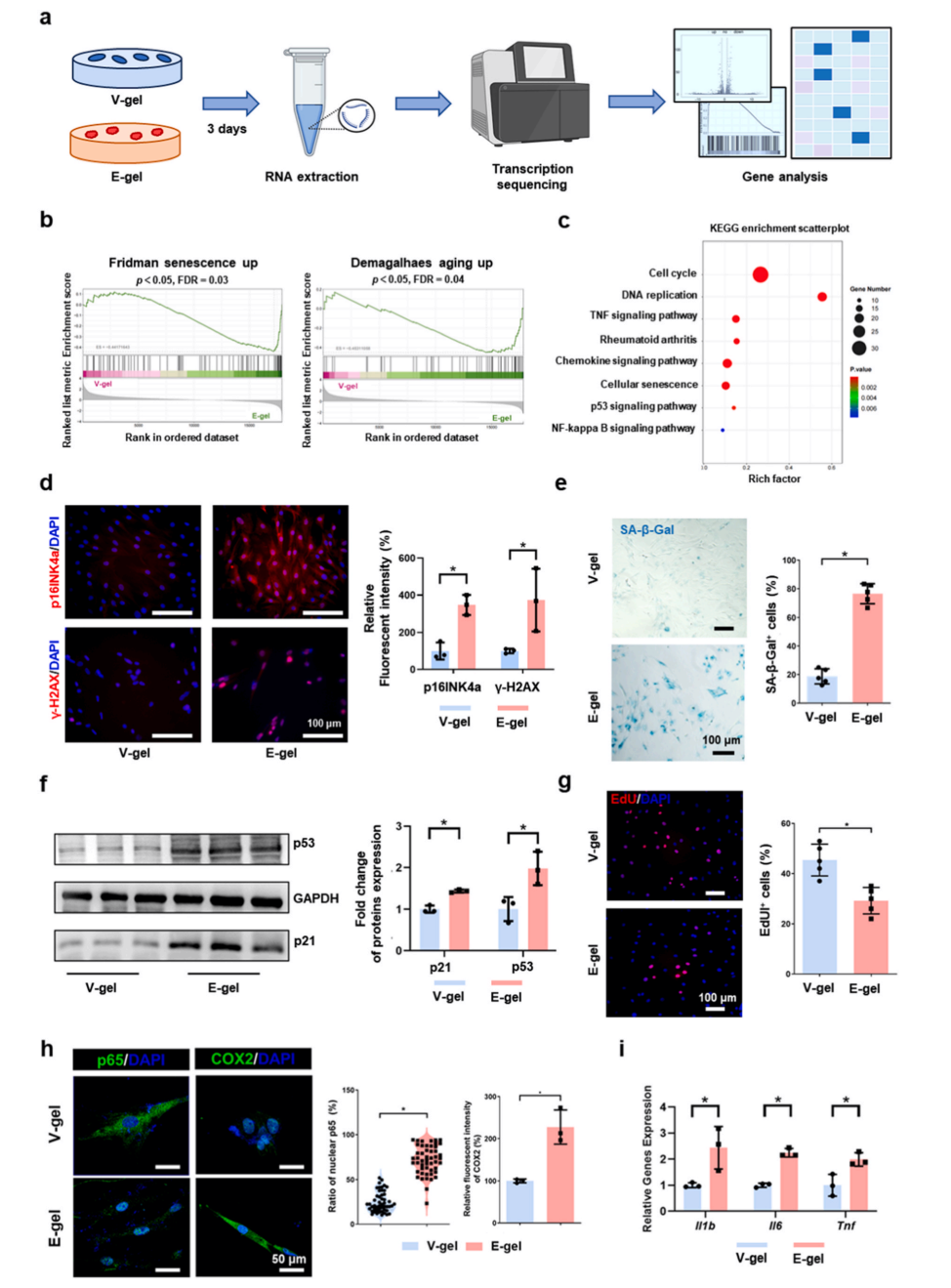
ECM黏性耗散下降促进细胞衰老。a、V-gel或E-gel培养的NPCs批量RNA测序示意图(n=3)。b、E-gel与V-gel培养的NPCs GSEA 。c、V-gel与E-gel培养NPCs转录组 KEGG 富集分析。d、细胞衰老标志物的代表性免疫荧光图像及定量分析(n=3)。e、V-gel与E-gel培养NPCs的SA- β -gal染色代表性图像及SA- β -gal阳性细胞的定量分析(n=3独立生物学重复)。f、细胞衰老相关蛋白p53和p21的蛋白质印迹分析及定量分析(n=3)。g、V-gel与E-gel培养NPCs的EdU染色代表性图像及定量分析(n=5)。h、p65与COX2的代表性免疫荧光图像。核p65比值通过3个独立生物学重复(n=50)的50个细胞定量,COX2相对荧光强度通过3个独立生物学重复(n=3)定量。比例尺=50 μm 。i、Il1b、Il6和Tnf表达水平的qRT-PCR分析(n=3独立生物学重复)。p值采用双尾非配对Student t检验或单因素方差分析(Tukey多重比较法)确定。p<0.05视为具有统计学意义。符号“*”表示统计学差异。

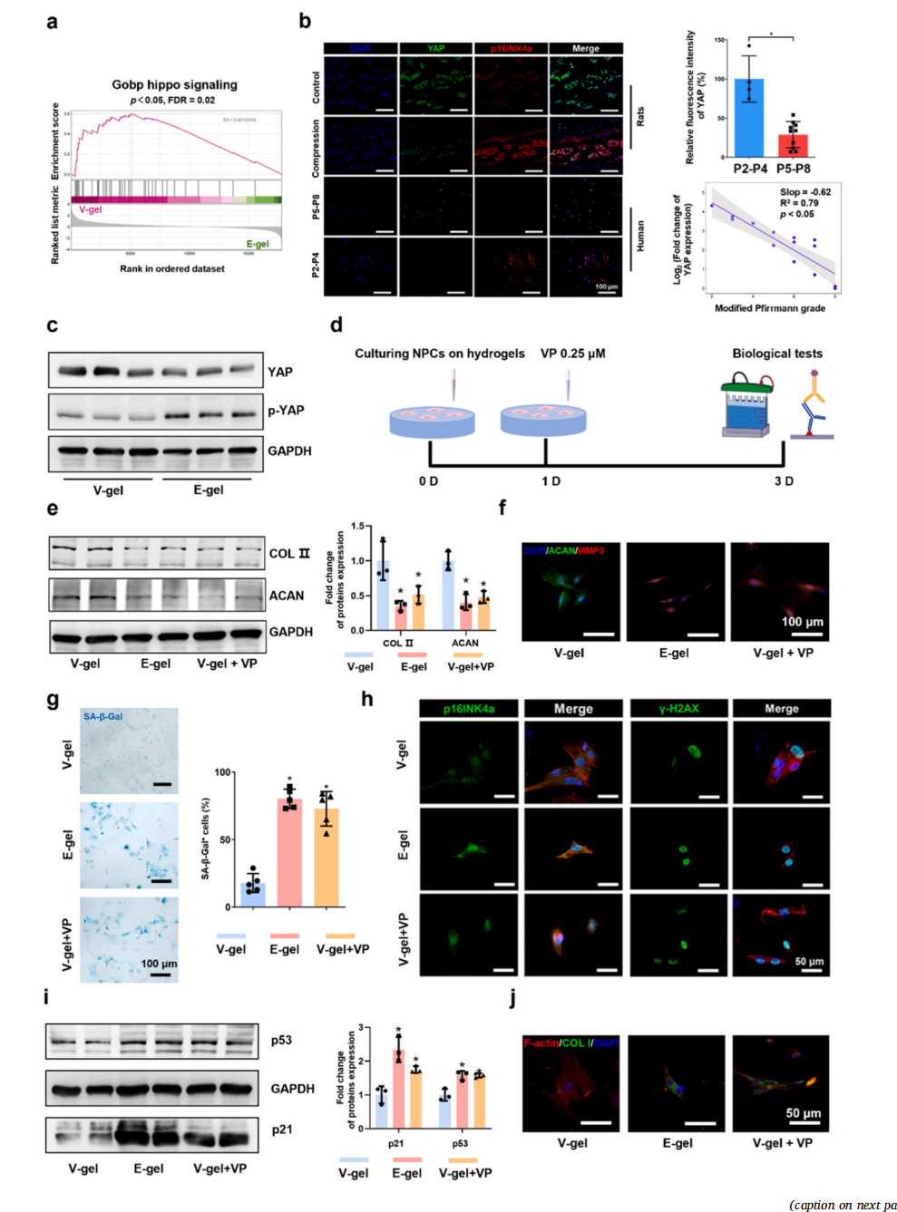
ECM黏性耗散通过YAP激活调控细胞衰老。a、 GSEA 显示与E-gel组相比,Vgel组中“Gobp hippo通路”表达上调。b、大鼠和人鼻咽癌组织中YAP与p16INK4a的代表性免疫荧光图像,附对应定量分析及Spearman相关性分析(比例尺=100 μm)。c、YAP与p-YAP的蛋白质印迹分析。d、V-gel组经VP处理后YAP失活的示意图。e、II型胶原与 ACAN 的蛋白质印迹分析及对应定量分析(n=3)。f、神经前体细胞中 ACAN 与MMP3的代表性免疫荧光图像(比例尺=100 μm)。g、神经前体细胞SA- β -gal染色代表性图像及对应定量分析(n=5,比例尺=100 μm)。h、细胞衰老标志物p16INK4a与 γ -H2AX的代表性免疫荧光图像(比例尺=50 μm)。i、神经前体细胞中p21与p53表达的蛋白质印迹分析及对应定量分析(n=3个独立生物学重复)。j、神经前体细胞中I型胶原的代表性免疫荧光图像(比例尺=50 μm)。p值通过双尾非配对Student t检验或Tukey多重比较单因素方差分析确定,p<0.05视为具有统计学意义。符号“*”表示与V-gel组相比存在统计学差异。

基质黏滞耗散降低诱导的神经前体细胞(NPCs)衰老表型部分由YAP失活介导。a、PY-60激活YAP在E-gel培养的NPCs中的示意图。b、NPCs中YAP的代表性免疫荧光(IF)图像。比例尺=100 μm 。c、YAP与p-YAP的蛋白质印迹分析及相应定量分析(n=3)。d、Arhgap29、Ccn1和Anln表达水平的qRT-PCR分析(n=3)。e、II型胶原(COL II)和 ACAN 的蛋白质印迹分析及相应定量分析(n=3)。f、NPCs中I型胶原(COL I)的代表性IF图像。比例尺=50 μm 。g、NPCs的SA- β -gal染色代表性图像及相应定量分析(n=5),比例尺=100 μm 。h、EdU染色代表性图像及相应定量分析(n=5),比例尺=100 μm 。i、细胞衰老标志物p16INK4a和 γ -H2AX的代表性IF图像及相应定量分析(n=3),比例尺=100 μm 。j、CXCL3、IL6和MMP3的蛋白质印迹分析及相应定量分析(n=3)。p值通过单因素方差分析(ANOVA)和Tukey多重比较法确定,p<0.05视为具有统计学意义。符号“*”表示与Vgel组相比存在统计学差异,符号“#”表示与E-gel组相比存在统计学差异。

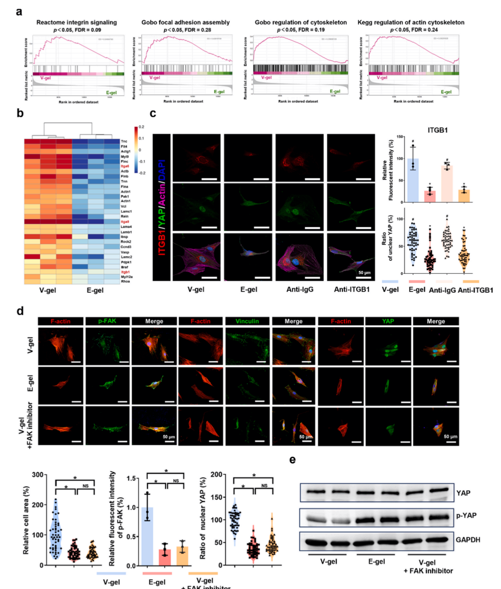
ITGB1/FAK/YAP机械转导轴介导细胞外基质黏性耗散对YAP的调控。a、 GSEA 显示,与培养于E-gel的神经前体细胞(NPCs)相比,培养于V-gel的NPCs中“Reactome整合素信号传导”、“Gobo黏着斑组装”、“Gobo细胞骨架调控”及“Kegg肌动蛋白细胞骨架调控”的表达上调。b、机械转导相关差异表达基因(DEGs)系列热图。c、NPCs中ITGB1与YAP的代表性免疫荧光(IF)图像及对应定量分析,比例尺=50 μm 。d、p-FAK、Vinculin、YAP及F-actin的代表性免疫荧光图像,包含细胞面积定量分析、p-FAK表达量及核内YAP比值。相对细胞面积与核内YAP比值来自三个独立生物学重复(n=50)的50个细胞。p-FAK相对荧光强度来自三个独立生物学重复(n=3)。e、YAP与p-YAP的蛋白质印迹分析。所有数据均以均值±标准差表示。统计学显著性通过单因素方差分析(ANOVA)结合Tukey多重比较检验确定,p<0.05视为具有统计学意义。符号“*”表示统计学差异。
总结
一篇发表于《Bioactive Materials》的研究通过工程化水凝胶模拟细胞外基质(ECM)的粘性耗散特性,揭示了其在椎间盘退变(IVDD)中的关键作用及调控机制。研究团队首先在临床样本和大鼠模型中证实,髓核组织粘性耗散能力的下降与IVDD严重程度呈正相关。为探究这一力学特性变化的病理意义,团队构建了两种力学性质解耦的水凝胶,分别模拟正常(V-gel)与退变(E-gel)髓核的粘性耗散水平。结果发现,即使基质刚度不变,粘性耗散降低本身即可诱导髓核细胞(NPCs)衰老:细胞铺展面积减小、增殖能力下降、衰老相关β-半乳糖苷酶活性增强,并伴随p16INK4a、γ-H2AX等衰老标志物上调及SASP因子分泌增加。
机制研究表明,NPCs主要通过ITGB1感知ECM粘性耗散的变化。粘性耗散降低抑制了ITGB1/FAK/YAP力学传导轴,导致YAP失活,进而破坏核膜完整性,引发胞质内异常双链DNA累积,激活cGAS-STING信号通路,驱动细胞衰老。衰老的NPCs进一步改变ECM组分,可能加剧粘性耗散下降,形成“粘性耗散降低-细胞衰老-ECM重塑”的恶性循环。基于这一机制,研究进一步探索了两种干预策略:一是通过YAP激动剂PY-60恢复YAP活性,二是在大鼠穿刺模型中植入仿生水凝胶V-gel以恢复局部力学微环境。两种策略均有效抑制NPCs衰老、延缓IVDD进展。该研究揭示了粘性耗散作为独立于刚度的力学致病因素在IVDD中的核心作用,并为靶向力学传导治疗退行性疾病提供了新思路。
参考文献:
DOI: 10.1016/j.bioactmat.2026.02.021
点击阅读原文,即可跳转原文链接
- 上一款: Advanced Materials | 自
- 下一款: ACS Nano | 通过靶向 siRNA-

mxene 学术专题